Would you expect the stiffness of an impingement syndrome or the hypermobility of hip dysplasia? This unusual case caught me out, until I saw the Xrays and, regrettably for the patient, it confused a number of medical specialists too, including one with a knife in his hand.
FAIS you will recall is an impingement syndrome causing unexpected stiffness and pain in the groin, mimicing hip arthritis. In the young patient with no history of Perthes Disease or Slipped Capital Femoral Epiphysis, the unexpected stiffness should immediately give rise to a suspicion of FAIS.
However, in the elderly patient, where limited
range of motion, coupled with pain in the groin is not an unexpected
finding, one may be deceived into thinking the patient has hip
arthritis.
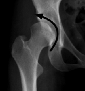
FAIS is found in two forms, one an abnormality of the acetabular rim (Pincer) and the other an abnormality of the femoral neck (CAM).
Classically, Pincer supposedly causes restricted EXTERNAL rotation of the flexed hip, whereas CAM causes restricted INTERNAL rotation. I remain unconvinced of this, however. Frequently CAM and Pincer occur simultaneously in the same patient.
With Pincer, there is TOO MUCH coverage of the femoral head.


With Developmental Hip Dysplasia, however, there is TOO LITTLE coverage of the femoral head. Consequently the range of motion of the hip is INCREASED.
The characteristic radiologic features are

From the Chiropractic Coalface
Mrs P, aged 74, developed gnawing right groin pain some four years ago. Surprisingly (having seen her lumbar spine X-rays) she assured me she never suffered from low back pain. Not until the extensive lumbar surgery two years ago, that is.
The groin pain progressed, and walking became difficult. Her medical doctor examined her and proclaimed she had hip arthritis, and referred her to an orthopaedic surgeon.
On examination of her hip, I found restricted hip flexion, adduction and internal rotation, all provoking pain in the groin. I assured her that she did indeed have hip arthritis. Wrong!
Misdiagnosis
However, the orthopaedic surgeon, on seeing her X-rays, declared that she didn't have arthritis, and the pain must be coming from her back. He was right (she doesn't have hip arthritis) and he was wrong (she didn't have referred back pain to the groin. Mrs P had (and has) Mixed FAIS DDH.


Unfortunately the result of wrong diagnosis is wrong treatment. The orthopaedic surgeon referred Mrs P to a neurosurgeon. On looking at her X-rays he declared that she had lumbar spinal stenosis and unless she went major lumbar surgery she would within six months be in a wheelchair.
So, eighteen months ago, Mrs P went to surgery. From the moment she awoke in recovery until now she had severe low back pain and pain radiating down to her foot. And she still has groin pain, and can't walk any distance without extreme pain in the groin.
Whilst we must acknowledge that the complications of Chiropractic do exist, in comparison with the complications of surgery, serious chiropractic complications are extremely infrequent.
THE FUTURE. Can Chiropractic help?
To be honest I'm not sure. I feel fairly confident, having treated numerous patients with FAIS or DDH, that Chiropractic can help the pain in her groin. However, this mixed FAIS DDH is an unknown. I've never seen it before.
And as for the botch-up in her back resulting in the pain radiating to her foot, that is very speculative. Watch this space.
Update:
I regret that it's five years later and I've retired and have no idea
now Mrs P responded to chiropractic help. So it's remains a tantalizing
question.
Nevertheless, because I see so many FAIS and DDH cases that cause hip and thigh pain, I'd be surprised if she didn't at least respond reasonably well. Having said that, these are tough cases, and so much depends on how well the chiropractor and his patient click.
Did you find this page useful? Then perhaps forward it to a suffering friend. Better still, Tweet or Face Book it.