Femoro acetabular impingement syndrome pincer is the stiff hip in the young adult.
The stiff hip in the young adult is something of an anathema; it has all the signs on the physical examination of full blown arthritis, but the radiographs deny any such thing.
Usually there is no pain initially; just stiffness. But later, for one reason or another stabs begin in the groin with certain movements.
Eventually an x-ray is taken showing a large spur forming on the lateral edge of the socket. We used to think it was early arthritis, but researchers eventually realised this was not so; it was the first sign of FAIS.

This page was last updated by Dr Barrie Lewis on 9th July, 2021.
FAIS is a condition of the socket and neck of the femur, almost certainly with a strong hereditary link, which causes too much coverage of the ball.
The net result is initially a stiff, non-painful hip in the young adult, mimicking arthritis, but with no degenerative change seen on X-ray.
Flexing the hip fully becomes difficult and painful in the groin; initially in the young adult, but progressively continuing on of course through life.
It comes in three forms;
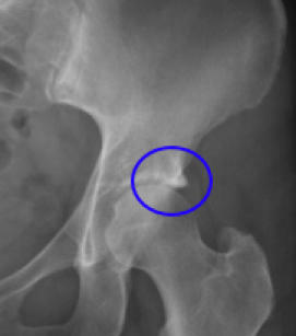
In the following two x-rays you can see a moderately severe case of pincer, in a 58 year old woman.
Femoro acetabular impingement syndrome pincer frequently proceeds to arthritis as one ages.
Early hip arthritis is a frequent consequence of femoro acetabular impingement syndrome pincer.
Most diseases come in mild and severe forms. You can have dangerously high, life threatening blood pressure of 220 over 120, and mildly raised hypertension of 145 over 95. Both are high blood pressure but there's a world of difference between the two, of course.
So too with Femoro Acetabular Impingement Syndrome Pincer. In the above mild case there is minimal hip arthritis. Tthe medical report states: There are no bony abnormalities in the pelvis In reality there is clear evidence of a pincer deformity bilaterally, as well as early sclerotic change in the left sacroiliac joint anatomy.
In moderate and severe cases of untreated pincer, the hip usually becomes prematurely arthritic leading to a total hip replacement.

PRESENTATION of Femoro Acetabular Impingement Syndrome PINCER
Pain in the groin and front of the thigh begins insidiously. At first walking is not limited. In a severe case pain and disability begins in the teen years, but more usually in the forties and fifties. Hiking soon becomes impossible.
It is often associated with pain in the low back, because the lumbar spine, pelvis, and upper leg share some very large muscles, and the upper anterior thigh is innervated from the upper lumbar spine.
This sometimes makes for a chicken-and-egg situation. Did the pain begin in the back and radiate to the thigh. Or, is it a dodgy hip, and the radiation is actually from the hip to the back?
CLINICAL FINDINGS of Femoro Acetabular Impingement Syndrome PINCER
Flexion, adduction and internal and/or more usually external rotation of the hip is restricted. Diagnosed early, it's just stiff. No pain. Left to brew for a few years, and these movements become painful in and around the groin.
Almost invariably some of the muscles in the groin become very painful. That could be the Iliopsoas muscle, the Pectineus, the Adductor magnus, the Sartorius... for you the patient what you will find is very tender muscles in the groin, and sometimes the buttock.
DIFFERENTIAL DIAGNOSIS of Femoro Acetabular Impingement Syndrome PINCER
Your chiropractor will be looking out for nerve conditions that may refer to the upper thigh. Well known are Meralgia Paresthetica and Maignes Syndrome... the femoral nerve stretch test may be positive, and then there may well be numbness, changes in reflexes and very occasionally weakness of the quadriceps muscles.
Then of course an Inguinal hernia causes pain in the groin, and the area has many lymph nodes which may become infected, and very occasionally cancerous.
All in all, pain in the groin must be taken seriously. Usually, but not always, it's a chiropractic condition, but a thorough examination is indicated.

Here's a casefile from the chiropractic coalface; femoro acetabular impingement syndrome pincer is not uncommon. Abnormalities often come in twos and threes. Mrs S, the 58-year old woman whose pelvis you saw above consulted me six weeks ago. She has had a life time of low back pain. She's been to physios, another chiropractor, orthopaedic- and neuro-surgeons. A difficult back.
Five years ago she started getting significant pain in the right (and lesser extent left) groin and upper thigh. Nothing helped, and the condition gradually worsened so that she was having considerable difficulty walking.
These are her back X-rays. You can see the scoliosis, and a severely degenerated lumbar joint at L3 - L4.


My initial impression was a severely pinched nerve in the low back. At L3/L4 the pain would radiate to the front of the leg. Plus the Femoral nerve stretch test was positive. This has in many ways the appearance of a lumbar stenosis, a chronic narrowing of the spinal canal.
"Remember the patient can have more than one disease."
Dr G. Till, DC.
However, ranges of motion of the hips were also limited and painful in the groins.
Conclusion: She has two independent conditions both of which can and do cause pain in the front of the upper leg.
So, what is the treatment of femoro acetabular impingement syndrome pincer?
By addressing both the hip condition, and the lumbar stenosis, this good lady says that after only six weeks she almost no pain in her legs and groins. She can walk normally, though she has yet to test the distance.
Her low back aches, but isn't painful any more.
I've made it plain: exercises for the hip and back daily, for life; heavy lifting is absolutely forbidden. She knows full well: the neurosurgeon told her, I've confirmed it, she sits on the verge of major spinal decompression surgery which is a nasty business. Playing silly buggers is not for her.
Her biggest gripe is that she can't lift the grandchildren. No, she can't, but they can sit on her lap, and she can hug them every day, and tell them stories about Hans Brinker, and how he saved Holland with his thumb!
IMMOBILISATION ARTHRITIS and
Femoro Acetabular Impingement Syndrome PINCER
There is now heaps of scientific evidence that joints not-in-normal-motion rapidly become arthritic. This is because the hyaline cartilage is starved of nutrients, and waste products build up, caused by the joint fixations.
Chiropractic's approach is to get the joints moving again, rehab exercises done on a daily basis to keep them moving, and sound nutritional support. In particular, a chicken bones broth and fish soup ... which are rich in gelatine powder and the latter Omega-3 oil. For the vegetarian, and of course everybody, freshly ground flax seeds are also rich in Omega-3.
DEVELOPMENTAL HIP DYSPLASIA
In contrast, DDH has "too-little-cover" of the ball. The result is the same but different. Both DDH and FAIS give pain in the groin, both are pre-arthritic but DDH has a hip joint where the range of motion is greatly increased. They make wonderful dancers and gymnasts... which makes it very difficult for your chiropractor: s/he will be telling you that if you dance, duck and dive you are surely going to end up with an early total hip replacement. It's not an issue with FAIS pincer - with those stiff hips you simply obviously wouldn't choose a career in ballet.
MIXED FAIS DDH syndrome
Very occasionally FAIS and DDH may co-exist in the same hip producing confusing symptoms and pain, and a clinical challenge to all concerned. Stiffness of FAIS? Or the hypmobility of DDH? Or hip arthritis?
To find links to topics in bold like the one above use the site search function in the navigation bar above.
These hip conditions are what we call syndromes; a complex mixture of signs and symptoms. There's nothing easy about the diagnosis of acute hip and thigh pain. Fortunately acute conditions of recent onset usually respond quickly to treatment; allowed to become chronic they become nuggety and stubborn.
The stiffness of an arthritic hip in the older person is something to be borne; difficulty with cutting toenails and even putting on socks and shoes is to be expected.
But in a young person the stiffness and disability of FAIS Pincer is a misery; recently, whilst clambering around in the pokey ceiling, making the connections for my solar generator, I realised that it would have been quite impossible with a stiff hip.
Read all about it at a day in the life of solar geek Bernard Preston.
Femoro Acetabular Impingement Syndrome PINCER
When browsing these links use right click and "Open Link in New Tab", or you may get a bad gateway signal.
Did you find this page useful? Then perhaps forward it to a suffering friend. Better still, Tweet or Face Book it.