Low and mid low back pain with a lumbarisation

by Sara
(Australia)

Spine front on 2017

Spine front on 2017

Tingling in legs and sometimes arms, weakness at times walking, pain and stiffness waking, pain bending back, gristle like hard bumps along lumber spine that tender to touch. Seeing chiro. He thinks possible disc bulge but facet joints are an issue. Jib is mostly sitting. 180cm tall. 58kg in weight. Not much muscle tone around spine. It feels burny sitting and sometimes like I am restless and want to keep moving. Back can feel locked. On off for couple of yrs. Only had xrays a yr ago - chiro thinks MRI nit needed at this stage. He said he can feel spine fine.


Any information would be most helpful. The pain has been consuming. I have tried swimming lately. Walking cam be a bit much....something I love.

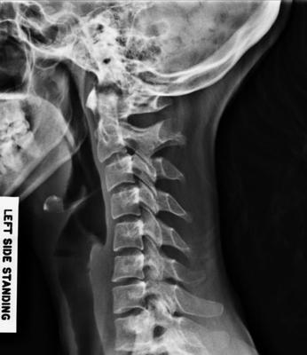
Hello Sara,
I wish I could be positive, but you have a difficult back and neck.

Firstly your cervical spine has a sharp kyphosis; clearly you've had a nasty whiplash with tearing of ligaments, and probable injury to the desk.

Your lumbar spine has an anomaly called a lumbarisation - six vertebrae instead of five. What is good is that the L6 appears well nested, but there are accessory joints visible, all likely to cause pain periodically.

And thirdly there's a suggestion of a short leg giving you a significant curvature; that's where I would suggest you start, though how much and whether it should be a full inner or just under the heel is a decision that needs to be made.

This is a back that requires daily lower back exercises; I recommend you start in bed before arising every morning. Swimming would be great, and you may find that with that lift in the shoe that walking is easier. Do you have any groin pain?

Lastly a suggestion that you suffer from constipation; if so, get onto to a lot more fibre in your diet or you'll have bowel disease too. Beetroot is God's gift to the colon.

I'm afraid my recommendation is that you stay with your chiropractor for an occasional but regular adjustment; it will never be perfect with any treatment. Heavy lifting is out, and avoid the vacuum cleaner. And do those exercises every single day.

I can well understand you feel frustrated.

One last tip; this is hereditary, and your children should right now start lower back exercises every day, and be examined for a short leg, or those that have inherited the anomaly will also have troubles like yours.

Sorry not to be more positive.

Dr B


Comments for Low and mid low back pain with a lumbarisation

Average Rating starstarstarstarstar

Click here to add your own comments

Mar 04, 2018
Rating
starstarstarstarstar
Different approach
by: Anonymous

I’m no doctor and I’ve suffered similar issues but for a shorter period of time. And a friend introduced me to Atlas cervical chiropractic and believe me after one day of 6-8 of treatments I feel 80 percent better. Find a good one that explains everything openly. My lady showed me measurements right on my own x-rays that she took.

It's called 'hole in one' chiropractic and takes us back to the very early history of the profession; mostly discredited to be quite honest, not negating the importance of the atlas.

Can you fix lower back pain by adjusting the altlas? I'd like to see the research confirming that it's possible in something more than an anecdote like this.

Having said that, absence of proof is not the same as proof of absence.

Dr B

Click here to add your own comments

Join in and write your own page! It's easy to do. How? Simply click here to return to Chiropractic help Questions (Low back pain).





Did you find this page useful? Then perhaps forward it to a suffering friend. Better still, Tweet or Face Book it.

Share this page:
Enjoy this page? Then forward it to a friend. Here's how...

Would you prefer to share this page with others by linking to it?

  1. Click on the HTML link code below.
  2. Copy and paste it, adding a note of your own, into your blog, a Web page, forums, a blog comment, your Facebook account, or anywhere that someone would find this page valuable.