There is a strong correlation between upper lumbar thigh pain; the lower back and leg are intimately connected; and it moves in both directions via the femoral and superior cluneal nerves on the one hand, and the psoas muscle on the other, making it often difficult to decide which is chicken and what is egg.
The superior cluneal nerves emerge from the L1, L2 and L3 nerve roots; the posterior rami for anatomical boffins, whereas the femoral originates from the anterior fibres of L2, L3 and L4.
Between the two, the nerves supply the skin of the upper part of the buttock, the side of the upper leg, the front of the thigh and the groin.
This may not interest you particularly but you have upper low back pain, radiating to the buttock and the thigh.
This complex scenario may be further complicated by hip conditions; for example a hip dysplasia or impingement syndrome frequently causes uppert thigh and groin pain, quite independent of what is happening in the lumbar spine.
Furthermore, the sacroiliac joint syndrome often also causes buttock and groin pain.
Not infrequently these conditions form a complex syndrome of lower back, buttock and groin pain. Identifying the individual components of the syndrome is vital if treatment is to be successful, as each has to be addressed and an exercise programme for the various parts devised. A "cure" is unlikely, but most patients who have chronic, unresolved pain are not unhappy with a 60-90 percent reduction in pain and disability, coupled with daily specific exercises and an acceptance that certain activities are verboten; the vacuum cleaner, for example.
This page was last updated by Dr Barrie Lewis on 7th December, 2018.
Upper lumbar thigh pain is a complex and often mysterious syndrome.

This may be further complicated by the presence of a short leg, causing a distortion in the pelvis and a lumbar scoliosis extending up into the mid back and cervical spine where further problems are caused. It is not unusual for these patients to have neck and thoracic pain, in addition to lower back and thigh symptoms.
An orthotic in the shoe may help to correct the short leg and subsequent scoliosis, but the making of inserts is an art form in itself. Frequently, if not correctly done, they add to the problem causing knee, hip and lower back pain.
All in all, it's a complex scenario requiring your chiropractor to carefully evaluate the various components of these upper lumbar thigh pain syndromes; the femoral nerve may radiate to the lower leg too.
Mrs L is a 50 year old woman with chronic right buttock and lower back pain; the latter has two foci, one at L5/S1 and the other at the thoraco lumbar junction. A tightness in the calf, anterior thigh pain and upper buttock numbness are features of this case.
It's a upper lumbar thigh pain case study.
The pain began some two years previous, with no known cause. Her doctor had only anti inflammatories to offer.
She is a lithe and otherwise healthy lady; her weight is perfect. She is active and busy but has annoying upper lumbar and buttock pain. Two days before the first consultation she went for a run, developing acute right upper leg pain.
An lateral xray of the lower back reveals an unusual alteration in the normal lordosis at the thoraco lumbar junction; nothing specific but confirming her extreme sensitivity in the region.

On examination of this upper lumbar with thigh and calf pain case, the pelvis appeared mildly low on the right giving a right convex scoliosis.
On motion palpation, there was a right sacroiliac fixation. That in itself is unusual; normally the fixation is on the opposite side to the short leg.
In the lumbar spine there were no obvious lower lumbar spine fixations but at the thoraco lumbar junction L1 was markedly fixed on the right and extremely tender. L5 was also particularly tender on the right, but not fixated.
On forward flexion there was no lumbar pain or restriction but tightness in the posterior right thigh and calf suggestive of a low grade sciatica. This was confirmed by a positive Slump test with pain in the calf. Lasegue's test verified this with restriction in the lower leg at 60*, but no LBP, with a positive Braggard's test. Motor findings were NAD with normal reflexes and muscle strength.
In addition, the femoral stretch test was positive giving pain in the anterior thigh.
On pinwheel testing, there was distinct hypoanalgesia in the upper buttock, the distribution of the superior cluneal nerves, confirming a Maigne's syndome as being a major part of the whole pain complex. Upper lumbar thigh pain is not uncommon.

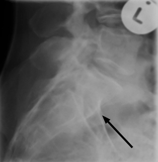
A closer look at the spot of L5/S1 reveals the presence of a large spatulated transverse process of L5 on your reading left (black arrow), together with a sagittal facet (red arrow); on the right is the conventional coronal facet.

Again, on the lateral spot, there is the suggestion of incomplete union between S1 and the remainder of the sacrum; fortunately the disc space at L5-S1 is normal. Or, using other conventions, the partially fused segment is in reality L5, making this a sacralisation.
The irritation of the sciatic nerve is almost certainly not for a bulging disc, but that could only be confirmed by MRI scan. Rather, this is the release of noxious chemicals from the joint cartilage.

The mild lumbar scoliosis continues up into the torso, resulting in pain in the midback and neck.
Rudimentary ribs are seen at T12, a common feature of a sacralisation or lumbarisation. Naming is not important; whether the last discrete vertebra is L4 or 5 makes no difference. What is significant is the presence of a transitional segment, asymmetrical facets, a transverse ilio anomalous joint and those little appendages arrowed at the thoraco lumbar junction.
These anomalies sometimes produce quite unusual and even bizarre patterns of lower and upper lumbar pain with diverse thigh and calf radiation.
Treatment of this two year old pain consisted of
The response was dramatic with 80 percent less pain after only three treatments but after a long car trip some pain has returned, and clearly a course of treatment is indicated. A cure is unlikely and she will join the group of people for whom an occasional but regular treatment is vital.
It's simply an unproven opinion, but I'm convinced that if EVERYONE did these lower back exercises before arising from bed every morning, we would halve the surgery on the lumbar spine; it would put a great many chiropractors and surgeons out of business. Most stop though once the pain and stiffness has gone.
Due to the scoliosis and other injuries, midthoracic pain, tingling in the right arm due to a first rib fixation, with a mildly positive Adson's test but negative upper limb tension test, and headaches are also being treated.
Did you find this page useful? Then perhaps forward it to a suffering friend. Better still, Tweet or Face Book it.