Trying to find source of right hip pain

by Robert
(Texas)

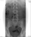
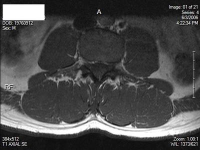
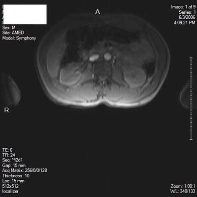
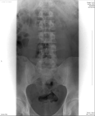
I'm 35 years old, male. Right hip pain, started as low back pain. Herniated disc L5S1, treated with ESI injections. Still have hip pain. Hurts when I flex my leg, SLR pain at about 45 degrees. My MRI and Xray are only of lumbar spine, however, do you see any abnormality of any bony or soft tissue of hip on these images? I understand it could be sciatica, which was the easiest thing they could come up with.


However, since the ESI injections did not provide much relief, I'm hoping you might see something on these that would point to an alternative theory of my hip pain, limitation of flexibility in hip.

I greatly appreciate your assistance. I do have a few more images, and have them as DICOM images as well. Thank you very much.

Hello Robert,
Apologies for the delay.

Two of the scan views are poor and I'm unable to determine what level; there's a suggestion of the fat squeezed out of the IVF on the right, but I wouldn't much store from that.

From what's visible of the hips they appear normal to me.

When you say 'hip pain' exactly where do you mean? In the groin, side of the hip, buttock or SI joint?

You make no mention of leg pain. Correct?

You say that there is limitation of hip flexibility. If you lie on your back and pull your knee to the chest - hip flexion - is it stiff and painful? Where?

Standing, if you bend slowly forwards, what precisely do you feel, and where? Do it carefully as you could worsen a disc injury.

Sitting in a kitchen chair, flex your head onto your chest and then straighten first your left leg parallel to the ground, and then the right. What do you feel?

Precise and full answers to all these questions are needed if you want any help from this quarter.

Dr B

Comments for Trying to find source of right hip pain

Average Rating starstarstarstarstar

Click here to add your own comments

Aug 21, 2018
Rating
starstarstarstarstar
Sorry to hear
by: Robert

I'm so sorry to hear of your pain, and the pain your father had to endure and being in a wheelchair.

It's crazy to me that spine doctors will hear complaints about hips for almost two years, yet not actually look into the actual hip for pathology.

I am a veteran, and this is of upmost important to me, not only because I want to get better but also because the military tells me nothing is wrong with my hip essentially.

There has to be some sort of hip pathology on these radiographic images.

I have more than just the four I have here. I wish I could upload the better ones.

It hurts to get up from a chair, hurts in hip to bring my leg up when laying down. Hurts in hip.

I wish you the best. This is very difficult to deal with.

Please answer my questions fully. There were no hip x-rays attached, so I can't comment.

Aug 21, 2018
Rating
starstarstarstarstar
The Hip hurts and goes weak
by: Anonymous

Hi Robert,
I've had a simular hip problem for years. My hip would hurt and when walking it would be painful and got weak and it didn't happen all the time.I went to the spine doctor and he ruled out a herniated disc and decided to give me a bursitis shot, he asked me to point to the painful area when I did he said "That's a bit high on the hip to be bursitis and gave me the shot anyway and no the shot didn't work at all. It was months after I bent over to pick something up and threw my back out. Went to the Doctor and he said I have a herniated disc. I got the shots, nerve blocks and they ddn't help. I went to the Dr. and we planned for surgery. my L3 was bulging my L4-L5 was herniated. I did have my L3 and L4 repaired and had a redo 1 month later so 2 surgeries, I had back issues again and when to another Dr. last December and he did surgery, removing scar tissue repairing the herniated disc. I re-herniated the disc again. I went to see a Dr. again and he said we don't do 4 surgeries on a disc we have to fuse it. Problem with fusing the disc is you lose movement and takes a lot of time to heal and by fuding the disc other disc can herniate as it happend to my Dad and he wound uo\p in a wheel chair the rest of his live. Long story it's longer in person.. So I going to see a new Dr. and see if I can get a disc replacement with out the fusion.

I doubt that this helped your issue because I didn't see a Dr. who ever said what the pain in my hip was ..
Good Luck

Aug 21, 2018
Rating
starstarstarstarstar
My response
by: Robert

When you say fat squeezed out IVF? What does this mean?

How could this cause pain and limitation of raising the leg?

When I lay down, it hurts in my hip and back of thigh, which makes sense for a herniated disc.

However, I have had three sets of ESI injections with little relief.

I'm trying to locate any other pathology. Is their any muscle atrophy? Or other bursitis, soft tissue, tendon?

As I said, Robert, full answers to my questions would enable me to get a better idea of what's happening, and what the pathology could be; otherwise I'm shooting in the dark.

There's normally fat in the IVF; if it's been squeezed out there's likelihood of a disc prolapse into the foramen.

Dr B



Click here to add your own comments

Join in and write your own page! It's easy to do. How? Simply click here to return to Chiropractic help Questions (General).





Did you find this page useful? Then perhaps forward it to a suffering friend. Better still, Tweet or Face Book it.

Share this page:
Enjoy this page? Then forward it to a friend. Here's how...

Would you prefer to share this page with others by linking to it?

  1. Click on the HTML link code below.
  2. Copy and paste it, adding a note of your own, into your blog, a Web page, forums, a blog comment, your Facebook account, or anywhere that someone would find this page valuable.