Stenosis and herniated disk L4/L5 36 years old part 2

Hello Dr B,


Firstly, I must thank you wholeheartedly for your willingness to, not only reply but, offer insightful and helpful information. For me, your information and website are the cream of the crop!!


Just to clarify a few points: My 65 year old father has never suffered from any kind of back problems (beyond normal muscle injuiries, etc). The same goes for my mother and all of my siblings (of which there are 9).


General health is above standard, non smoker, very occasional wine drinker, prior to the injury I was extremely active - running app 50km a week, swimming, football once a week, 3 visits to the gym a week. There wasn't much I couldn't do!!


The slump 2 test results are as follows: right (good) leg straightens out well and doesn't cause any pain whatsoever. The left leg will only straighten to about 80% percent and causes a sharp, stabbing, pain around the back of my left hip. Basically it mimics the pain I presently feel when walking.


Jan - May 2011, I started feeling low back pain, but the pain never raditated down my leg and didn't really hinder me. I now summise that I possibly had a bulging disc or light stenosis.


In May 2011 during a game of football, I felt a 'click' in my lower back, nothing painful but a very strange feeling. My movement became lethargic, but I just passed this off as a strain. During the following week I discovered that I couldn't walk more than 50 meters without having to sit down for 3 minutes to recover. Over the next 18 months the pain turned to nerve pain down to my foot. Since that time I have tried many different therapies, injections, acupuncture, exercise, (but never a chiropractor) with little to no success.


The first success I achieved, was following your advice about absolutely not sitting down (I am standing as I type this) and, of course, I followed your exercises. Within 3 weeks, the nerve pain had all but disappeared and now I am
trying to deal primarily with hip, backside and sometimes thigh pain (all brought on by walking and light exercise). There is a curiosity in that, I can sometimes run at a slowish pace (7kmh) without pain, but the moment I stop,
I am in near agony. This only appears to subside once I have slept for at least 8 hours.


I realise there are so many factors involved and that no 2 cases are the same. Different doctors will interpret MRI's, pain, movement in their own way. Although, it seems, once they see a herniation, they stop searching for other causes.


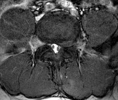
If there is a possiblity of viewing a few selected images of my MRI, I would love for a 4th opinion. I certainly don't mind making a donation towards the running of your fantastic website.

Best regards
Scott





Dear Scott,
I'm not a qualified radiologist, but I do look at Xrays and scans every day and have done for 35 years. You obviously have a fairly large prolapsed disc at L4-L5, protruding into the foramen, and also compressing the thecal sac.

That Slump test shows that stretching the sciatic nerve is restricted, it's tethered in the foramen. Good that it doesn't produce leg symptoms.

Scott, my opinion is that you have to do something now. From a very active lifestyle, you've become quite disabled.

It's great that the not sitting, exercising regimen has made such a difference but I would give it a defined period, perhaps a month, to see if that improvement continues. If not, I would either go and see an experienced chiropractor, to see if the fragment can be reduced with manipulation, or have the surgery.

Both in skilled hands could improve it quite quickly, both could make it worse. Follow your gut feel. But my feeling is you can't go on like this indefinitely.

Was this scan taken recently, or at the time of the injury?

Can you raise your big toe off the ground?

Start talking to friends and family, your GP, and get the name of a good, thorough local chiro.

No payment needed, but it would make my day if you bought one of my books! My nom de plume is Bernard-Preston.com

Let me know how you get on. Please keep to the same thread.

Dr B

Go from Stenosis and herniated disk L4/L5 36 years old part 2 to other Chiropractic Conditions often treated…

I hope this has contributed.


Dr. Barrie Lewis


Comments for Stenosis and herniated disk L4/L5 36 years old part 2

Average Rating starstarstarstarstar

Click here to add your own comments

May 04, 2013
Rating
starstarstarstarstar
Re: ordering books
by: Anonymous

Hello Dr B,

Oddly, Amazon don't seem to accept Paypal either. No worries, I will add a credit card later on.

Although I'm English, I currently reside in Poland. This gives me the opportunity to brush up on my, rather limited, Slavonic language ability and travel around Europe. I have visited Holland a couple of times, so looking forward to that particular book.

If the paperbacks are available, I'll happily order them. Nothing like the rustle of 'genuine paper'!!

Best regards
Scott



May 04, 2013
Rating
starstarstarstarstar
Trouble finding Paypal option for Ebooks
by: Anonymous

Good day Dr B,

As promised, I am attempting to buy your fine books, however, as you unfortunately refrain from posting paperback books to Europe, I would like to order the Ebook versions.

I am either totally incompetent or blind!! I can only find the Paypal link for the paperback versions.

If you could manipulate me in the right direction :), I would appreciate it.

Best regards
Scott





Hello Scott,
At http://www.bernard-preston.com/Our-STORE.html you'll find the Amazon links for A Family Affair and Stones in my Clog.

Didn't realise you were in Europe. Where? Stones in my Clog is set in the Netherlands. Obviously!

Dr. Barrie Lewis



May 01, 2013
Rating
starstarstarstarstar
Chronic lower back and leg pain
by: Scott

Chronic lower back and leg pain

Hello Dr B,

As usual sound 'spot on the money' advice.

I feel like changes are happening, albeit extremely slowly!! My one regret is that I didn't bump into your site 2 years ago as, I am convinced, due to not carrying out the correct exercises and sitting most of the time (for relief), the problem only got worse.

The scan was taken quite some time ago now (Dec 2011) and I was recently playing with the idea of obtaining a new scan, which I will probably do before visiting a chiropractor.

I have been tested for nerve response and everything appears to be in order. I have full functionality apart from not being able to fully straighten my left leg. I can move my toes, walk on tip-toes, etc.

It's my pleasure to order a couple of your books. I suspect they're fascinating reads. A Paypal option on your site might be good for all of us 'non-Amazonians'.

Best regards
Scott





Ah Scott, you've been a great help. I've been upgrading the sites and, stupid, forgot to check putting Our Store onto the navigation bar. No wonder you were having trouble finding the Paypal link. (May have to click twice).

Do that Slump test for sciatica regularly, it gives you an idea of where you are.

And secondly regular stand on just the naughty leg, first on your toes, then raising the big toe. Keep watching, not neurotically!, for paresis.

Enjoy the books. You will!

Dr b


Go from Chronic lower back and leg pain to other Chiropractic Conditions often treated…

Dr. Barrie Lewis



Click here to add your own comments

Join in and write your own page! It's easy to do. How? Simply click here to return to Chiropractic help Questions (General).





Did you find this page useful? Then perhaps forward it to a suffering friend. Better still, Tweet or Face Book it.

Share this page:
Enjoy this page? Then forward it to a friend. Here's how...

Would you prefer to share this page with others by linking to it?

  1. Click on the HTML link code below.
  2. Copy and paste it, adding a note of your own, into your blog, a Web page, forums, a blog comment, your Facebook account, or anywhere that someone would find this page valuable.