Spine/lumber region severe back pain radiating to the outer and front of the thigh..

by John
(Gold Coast, Australia)

Spine/lumbar region back pain extending to the bony area left about 3" and radiating to outer left thigh and front left thigh. Pain often mirrored on right side however with less pain intensity. I have no abdominal or groin pain.


The pain is severe after 5-15 minutes walking/standing. Morning pain level 8-9/10. The function of sitting from the standing position is very painful but after a few minutes the pain eases dramatically. The most comfortable position is sitting with lumber support; pain level 0-1/10. Lying can be a little uncomfortable and relieved by on side moderate foetal position and or on back legs bent.

Symptoms have presented ongoing for four weeks, beginning two days after attending intense exercise circuit with a trainer involving cardio repetition Inc. sit-ups, back presses, light weights etc.

I attended my Chiropractor who after an examination concluded that my spine, hips and legs all appeared in good condition. He ordered an x-ray. Following the results (as below and accompanying) he performed moderate stretching and gentle manipulation. Given my continued pain after 10 days he suggested I get a CT scan. This I needed to do through my GP. In the 3rd week I attended my GP who referred me for the CT scan following his own examination. He could not determine any issue and suggested that should the CT scan not show anything conclusive I should put up with it until it abated and or return to my Chiropractor. The CT report apparently indicated no area of concern.

I am yet to return to my Chiropractor however I plan to make an appointment upon receiving the CT results myself.

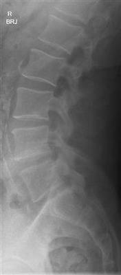
Radiographer X-ray Findings:
Findings
As requested, a spot lateral and a lateral view have been performed.
There appears to be a very minor anterolisthesis of L5 relative to S1 in the order of only 2-3mm and degenerative.
There is no other malalignment.
There is no fracture.
There is no destructive pathology.
There is good preservation of intervertebral disc heights.

Good day John,
Firstly, would you please ask a specific question addressed to the radiologist about the status of your abdominal aorta.

Secondly, an MRI would be more useful than a CT, with no ionising radiation. If you haven't yet had.

The pain brought on with walking; is it in your leg too? Is it relieved almost immediately by sitting? Smoker? Ask your doctor to test the posterior tibial and dorsalis pedis pulses. Any question of 'intermittent claudication' needs to be ruled out.

If this is nerve problem, and it probably is, then the Slump test for sciatica and the femoral nerve stretch should be done; one of them will be positive.

If you bend slowly forwards, backwards, to the side, do you get back and leg pain?

There certainly is a mild anterolysthesis at L5 but this is unlikely to cause front of the thigh pain. Is your knee feeling weak on stairs? Has the quadriceps reflex been tested? Normal? With pinprick is there any difference right and left?

There are a lot of unanswered questions here, John. I'm being the Devil's advocate, suggesting your doctors look further than the obvious.

Read the riot act to your trainer; he pushed you far too hard.

Dr B

Click here to post comments

Join in and write your own page! It's easy to do. How? Simply click here to return to Chiropractic help Questions (Low back pain).





Did you find this page useful? Then perhaps forward it to a suffering friend. Better still, Tweet or Face Book it.

Share this page:
Enjoy this page? Then forward it to a friend. Here's how...

Would you prefer to share this page with others by linking to it?

  1. Click on the HTML link code below.
  2. Copy and paste it, adding a note of your own, into your blog, a Web page, forums, a blog comment, your Facebook account, or anywhere that someone would find this page valuable.