Shin & lower leg pain; burning and sensitivity

by Seamus
(Ireland)

Hi, a month ago today I experienced sudden and extreme pain radiating from my lower back, into my left quad, and down throughout my left leg. This occurred whilst I was crouching down after a week of heavy lifting and pretty intense activity, which I wouldn't be used to.


The violent pain eased after 24hrs but my left leg was still very painful and I was bed-bound for a week and off work for a fortnight. The symptoms pointed to sciatica, almost exclusively in my left leg: stabbing pains, electric-like nerve pain, pins & needles, numbness, burning, hyper-sensitivity, discomfort, etc.

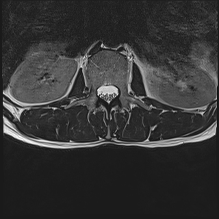
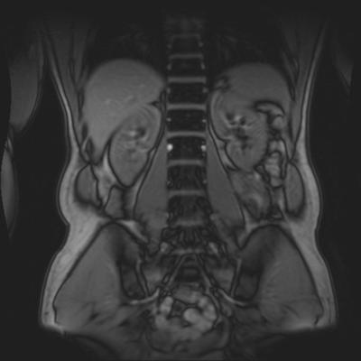
I had an MRI 12 days after the initial onset. This showed a slight disc bulge and small fissure in the disc (L4).
My physiotherapist, whom I first went to 16 days post-injury, has given me stretching exercises to do and recommended regular walking; plus, from tomorrow, a return to a lighter-weight gym routine, with warm-up on treadmill/exercise bike. He feels there's no reason not to, that the back is no more vulnerable now than it ever was.

Walking any distance remains painful. It feels like there's a bolt being hammered into the bone in my left shin. After walking, say, 700 metres (which is more than I could last week, but there's definitely some limping involved) the lower leg eases up. But within an hour it feels sore again.

There is a burning and tingling sensation in this same shin a lot of the time, particularly at night and after any sort of movement it becomes hyper-sensitive.

I presume this all points to a nerve-root issue. It doesn't seem to have improved in the past 2 weeks and I also get occasional darts of pain in other parts of my left leg/foot/glute/hip.
I am taking pain medication (Tramadol) and anti-inflammatories (Ibuprofen) and I can physically feel these taking effect in the nerves in my leg within minutes.

However, I'm struggling to see some light at the end of the tunnel.

Hello Seamus,
Let's start with a few tests done at home. Off all medication for at least 12 hours, and preferably 24, please tell me AS ACCURATELY AS YOU CAN exactly what you feel and where. Write them down test by test; only then can you expect something useful from this column.

1. Standing, bend slowly forwards, backwards, right and left; do it carefully as this can aggravate the condition. If it hurts don't press on. For each position tell me exactly what you feel. Is one leg tighter than the other when bending. Which part of the leg is affected. Which toes are affected, and so on.

2. Sitting in a normal kitchen chair, ask someone to raise your lower leg parallel to the ground; now they push your toes towards your hips, and you slowly flex your head. Remember what you feel. Repeat with the naughty leg. Exactly what and where is the pain, tightness, tingling etc.

3. Standing at a kitchen counter with one finger for balance, raise your left foot slightly off the ground. Now lift your big toe, drop it, stand on your toes and raise the heel. Repeat on your left leg. What's the difference? Is the knee tending to give on the stairs? Do you know if any of the reflexes are reduced? Which?

The limp may be because of the pain and tightness in the leg, but it may be from weakness developing in the lower leg.

I wouldn't go back to the gym, well that's my opinion. You've obviously had a slipped disc (incidentally, it looks like the L5-S1 disc from the scan but I don't have all the views), and it takes a good deal more than a month to heal once the bulge has been reduced. The chances of a second slip are great at this stage. Be careful.

Do those exercises every morning BEFORE getting out of bed. Take a look at our slipped disc rules which you can find using the site search function at chiropractic help.

Let me have some answers, accurately recorded ones, and we'll take this further.

Dr B

Click here to post comments

Join in and write your own page! It's easy to do. How? Simply click here to return to Chiropractic help Questions (Low back pain).





Did you find this page useful? Then perhaps forward it to a suffering friend. Better still, Tweet or Face Book it.

Share this page:
Enjoy this page? Then forward it to a friend. Here's how...

Would you prefer to share this page with others by linking to it?

  1. Click on the HTML link code below.
  2. Copy and paste it, adding a note of your own, into your blog, a Web page, forums, a blog comment, your Facebook account, or anywhere that someone would find this page valuable.