Severe pubic, sacral, and right hip pain

by Stacy
(Oakdale, TN USA)


Severe pubic, sacral, and right hip pain is suggestive of a pelvic condition involving the sacroiliac and hip joints.


I am a 58 year old Caucasian female, 140 lbs. 1 1/2 years ago I had pain in pelvic area radiating to the right hip that slowly improved but did not resolve.

A year ago I bent over to pick up a paperclip from the floor. It felt sharp, intense burning pain as if something tore and radiated to right hip. Ice and heat ineffective. Went to ER 24 hrs. Later, after a CT scan, they shrugged, said they didn't know and referred me to my family doctor. It slowly eased but never resolved.

Two weeks ago I fell landing on my right top femur. Sore but no problem. Then 3 days ago after some lifting of fairly light boxes, it began again but this time it is severe in the sacral area as well as pelvic bone area, groin, right hip including upper right front thigh. Also noted bone pain. ER visit again, x-ray negative, pain meds and muscle relaxers prescribed, heat recommended.

It feels like it is all horribly inflamed and the pubic bone area and sacral area has piercing burning pain that seems localized but radiates to hip is the best description I can give. Standing and walking is less painful than sitting and laying down. Sitting with right ankle on left upper thigh eases it somewhat. Ice packs I have to leave on continuously on the sacral and pelvic area to get relief. Hot epsom salt baths effective only while in the bath. I got a few minutes relief when I put my forearms on counter and hang down letting my whole weight rest on my arms and relaxing lower half of body.

Please if you have any idea of what is wrong please steer me in the right direction. My doctor has no clue. I haven't slept even with pain medication for 3 days. I am unable to take NSAIDS due to Recurring Acute Pancreatitis, nor can I take steroids. I hope to God you can help. I will gladly buy several e-books from you if you have any suggestions at all. I apologize for the long post. I wanted to be as clear as possible.

Thank you in advance for any suggestions.

Hello Stacy,
I can understand you being frustrated. If I may suggest it, the ER is not the right place; you need someone who specialises in the pelvis. That could be a chiropractor, but not every DC has an interest in the hip as I do. Or, an orthopaedic surgeon.

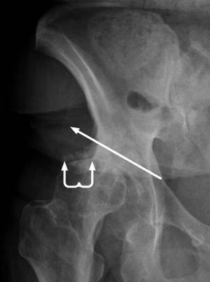
I would dearly like to see a copy of that x-ray. Could you get help in sending them to contact?

One little test: lie on your back and pull the left knee to the chest, towards the opposite shoulder and then drop it into the lotus position; remember what you feel.

Now repeat with the naughty hip. What's the difference?

Dr B



»
» Severe pubic, sacral, and right hip pain



Click here to post comments

Join in and write your own page! It's easy to do. How? Simply click here to return to Hip stiffness and groin pain.





Did you find this page useful? Then perhaps forward it to a suffering friend. Better still, Tweet or Face Book it.

Share this page:
Enjoy this page? Then forward it to a friend. Here's how...

Would you prefer to share this page with others by linking to it?

  1. Click on the HTML link code below.
  2. Copy and paste it, adding a note of your own, into your blog, a Web page, forums, a blog comment, your Facebook account, or anywhere that someone would find this page valuable.