Posterior sternoclavicluar joint dislocations

Hi,


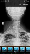
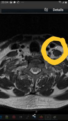
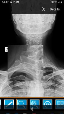
Please, see the attached images.

I have a dislocated sternoclavicluar joint, a dislocated first rib at the intercostal joint.
Among many other things.

Just thought my case may interest you for an article?

The pics are good, and I'm about to get the CT scan which is a 360.

The pain, dizziness, are awful.
They caused 4 embolic strokes.

So life although badly affected is still worth living.

Stephen

Whew Stephen, it sounds like you are lucky to be alive. How did it happen?

I would need a huge amount of detail, detail that I couldn't get without examine you, though so clinically very startlingly interesting, not able to do a case file.

If you are seeing a chiro and he would like to do such for the website that would be most interesting.

Be strong, this too will pass.

Dr B.R. Lewis DC

Comments for Posterior sternoclavicluar joint dislocations

Average Rating starstarstarstarstar

Click here to add your own comments

Oct 08, 2021
Rating
starstarstarstarstar
Ouch
by: Anonymous

Wow.....all I can say is..I'll never moan again !! You are a brave man Stephen and yes, indeed..life is still worth living. Stay strong. Trish

Click here to add your own comments

Join in and write your own page! It's easy to do. How? Simply click here to return to Chiropractic help Questions (General).





Did you find this page useful? Then perhaps forward it to a suffering friend. Better still, Tweet or Face Book it.

Share this page:
Enjoy this page? Then forward it to a friend. Here's how...

Would you prefer to share this page with others by linking to it?

  1. Click on the HTML link code below.
  2. Copy and paste it, adding a note of your own, into your blog, a Web page, forums, a blog comment, your Facebook account, or anywhere that someone would find this page valuable.