opinion of left ankle x-rays

by grace Mackay
(monterrey, nuevo leon, mexico)

Hi, on august 21,2011 I fell and fractured my right ankle, they put a plate and 11 screws. Still on the stage of not putting weight on it, and being put on a cast on the day 32 of the injury.

On the same fall it seems I sprained my left ankle, my dr told he was not worried about the left ankle. and when I have my appointments with my surgeon he pays no attention to the left foot that by the way is the one I´m using to "walk" with a walker help.
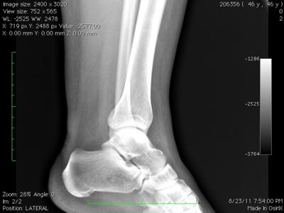
Here are my questions, 38 days after my fall, since it still hurts and seems to have a bump on the outside of the ankle. I was seeing my xrays and would like an opinion from your site about my "good" left ankle.




Hello Grace,
Whilst I look at lots of X-rays I'm not a trained radiologist, and thus I'm reluctant to give an opinion, particularly seeing that I can't examine your foot itself.

It does seem there is some swelling adjacent to the lateral malleolus, but I can't see any fracture. This is probably due to some sprain of the ligaments.

The posterior process of the talus seems somewhat enlarged, but has nothing to do with the injury. However, it would limit movement in the subtalar joint.

The surgeon it would seem is doing a good job of your right ankle. I would take your left ankle (and these X-rays) to a local chiropractor who works with feet. Not all chiros treat ankles and feet, ask before making an appointment.

Sorry I can't be more helpful.

Dr B

PS. I'm impressed you can load these X-rays! You don't give your age, but I suspect you're no longer sweet sixteen!

Comments for opinion of left ankle x-rays

Average Rating starstarstarstarstar

Click here to add your own comments

Oct 01, 2011
Rating
starstarstarstarstar
Thanks,
by: Grace mackay

Thanks no I'm not 16, I'm 46 years old, but I did master in computers 27 years ago, I'm out of date but I follow instructions. So I shouldn't worry about my left ankle developing arthritis?
Thanks




Hello Grace,
You certainly should be concerned, particularly at 46. Provided you're not a smoker or have high cholesterol and a rotten diet, you have another forty years to look forward to, and with two lousy ankles...

Fixations in joints cause what physiologists describe as Immobilisation Arthritis. Key the phrase into the search function at C-H. Basically, lack of movement starves the cartilage of nutrients causing arthritis. Chiropractic is about mobilising fixated joints to prevent exactly that.

Not all chiropractors treat feet and ankles, so when making an appointment, ask.

Dr B


Click here to add your own comments

Join in and write your own page! It's easy to do. How? Simply click here to return to Chiropractic help Questions (General).





Did you find this page useful? Then perhaps forward it to a suffering friend. Better still, Tweet or Face Book it.

Share this page:
Enjoy this page? Then forward it to a friend. Here's how...

Would you prefer to share this page with others by linking to it?

  1. Click on the HTML link code below.
  2. Copy and paste it, adding a note of your own, into your blog, a Web page, forums, a blog comment, your Facebook account, or anywhere that someone would find this page valuable.