Metatarsalgia, leg pain, back pain, neck pain; chronic ankle sprain

by John
(Taiwan)

It looks harmless enough...

It looks harmless enough...

I can't tell you how happy I am to have come across your website, and especially to have the opportunity to write to you. I have lived in Taiwan for nearly ten years, and all of a sudden (or so it seemed at the time), about four years ago, I began to have severe back pain, initially as an unbelievably painful crick in the neck. Every doctor I came across came up with different diagnoses, usually after a five minute "examination" and a battery of x-rays, CT-scans, MRIs, and (most recently) a bone scan and a blood test. I was told I had 'spinal degenerative disease' or lateral sclerosis or a slipped disc, that I needed surgery and that I didn't need surgery. I was given "physical therapy", which involved painful traction and the application of vibrating and other devices that seemed perfectly useless for my condition.


The most frustrating thing was that no doctor would ever inquire into my medical history or how the condition appeared. No one asked, what did you do the day before? (I hit my cheap rowing machine pretty hard that day). They don't care what the patient says beyond telling them the complaint as briefly as possible, looking at some sort of image or quantifiable test, and sending you out the door with a pocket-full of medication.

I don't mean to rant, but the ordeal has caused me unspeakable stress and has more or less ruined my life. The pain has been bad, and the impact on my lifestyle (no more traveling, exercising, less energy and enthusiasm) has been really bad. But, the worst is the ongoing torturous sense that if I could find a decently competent and thorough doctor to deal with my problem, I could learn what my options are, deal with them, and move on with my life.

I was fortunate enough to finally come across a physical therapist who was, thank God, not a doctor, and actually looked at how my body worked and asked me lots of questions. She showed me how my hips were out of alignment and then began to look for the cause. I have had a few sports injuries, sprains, broken bones, motorcycle accidents, etc, so there were a few possibilities, and she never could pin down the precise cause (and she is now studying abroad), but I am absolutely convinced that the problems I have experienced for the last four years and a number of what I thought were minor problems prior to that all stem from an ankle sprain 12 years ago.

I was studying in Germany at the time; it was my first trip to Europe; I played a basketball game in a cheap pair of running shoes I bought at a super market, and I ripped the heck out of my ankle. What is worse, I didn't take care of it. I wasn't going to let a sprain ruin my first (and maybe last) chance to be in Europe, so I trekked all over the place on it, and never gave it a second thought.

It seems very evident to me that my body has come up with a number of strategies to reduce pressure and weight placed on my foot and ankle. My left foot and leg rotate out when I walk and stand; I walk on the outside of my foot, often with weight shifted towards the little toes, and when I walk I keep weight on the right side. When I stand, I shift to the left, because (I think) by locking the muscles in the left leg, and having the right free, I have more stability. That caused me a lot of confusion at first. I have also noticed that big toe sticks up when I move my foot forward to walk, and my left foot hooks somewhat inwards compared to my right foot.

Anyway, I realized that every time I went to the doctor here and told them my story, they always wanted to start snooping around my spine, even though I have done every damn test and therapy in the book, so last time (about a year ago & before my current situation), I went to another doctor and just mentioned my knee pain and kept my theories to myself. He looked at (yet another) x-ray and said I would need knee surgery if I didn't stop walking on the outside of my foot.

Even though I was aware that my body is not positioned correctly, and I knew that I was walking incorrectly, I was not really clear what precisely the problem was, and more importantly, it didn't really feel wrong. I had been walking, running, biking, playing basketball, etc for a good decade on that leg and only recognized problems like the knee pain and lack of power in the left leg (especially on inclines) and leg soreness in hindsight. So, when I first tried to walk "correctly", it just felt weird and kind of painful, and I didn't know if I was doing more bad than good. So, I stopped doing that, and decided to just walk more and to pay attention to how I walked. And, so, I gradually began to understand many of the strategies my body had come up with to deal with the ankle, and I eventually decided that it was too difficult to cope with them individually or in combination, and that I should just try to walk with my weight evenly distributed.

That was about four weeks ago now, and things have changed fast. All of a sudden I developed plantar fasciitis which quickly morphed into metatarsalgia (in my amateur judgment), with pain and swelling concentrated in the toe next to the big one and ankle instability and swelling, as well. There is also Achilles weirdness and burning on my left sole. The pain in my toe has become so bad that I have been forced to go back to the doctor, but I am now in a much bigger city.

Even so, it's been kind of the same routine, although now they have a visible phenomenon that they can tinker around with instead of my complaints. One doctor said it might be diabetes, but is probably Freiberg's disease; another doctor at the same hospital said it was extremely unlikely that it was Freiberg's, but didn't offer any other explanation. I got a bone scan there and (this is Taiwan, so I won't try to explain) ended up taking it to a third doctor who said that he couldn't tell one way or another from the bone scan what the nature of the problem was, only the location (i.e., the second toe), and that I needed an MRI, which I did a few hours ago. He seemed to be leaning towards Freiberg's, and considering the description of that condition on the internet, I can see why he would do so, but it also sounds like 'simple' metatarsalgia, which would also seem to comport more with my history.

I figure that my foot is unused to the weight and to a more normalized range of motion, and that the second toe is all of a sudden being called to perform activities (such as pushing off while walking) that it hasn't been asked to do since 1998 and that the big toe, which keeps on sticking up when I walk, is not helping take the pressure off.

The reason I am so happy about coming across your website is that my experience (and I admit that I am not a professional in even the slightest sense) indicates that nearly all of these problems stem from an ankle sprain that was not taken care of. For this kind of situation, I have much more faith in a properly trained chiropractor than a doctor, and it is a relief to see you mention the notion that a number of unresolved cases probably relate to improperly managed sprains.

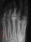
I would really appreciate any advice I can get, because I don't know where to turn. Locals are not very helpful, because they are just not good at judging a good doctor from a bad one. If you are better, the doctor was good; if not, he was bad. They seem to be unaware that doctors are not following any kind of standard routine in dealing with patients, and don't mind a three minute visit with a specialist with other patients standing around in the examination room breathing down your neck. By the way, I am 35 years old, 188cm, and 75 kg, so don't tell me to lose weight! I hope you don't mind if I add my latest x-ray. Perhaps you can see something the doctors don't.

John, what impresses me most is that you are obviously a thinking and perceptive person. That's half the battle.

That X-ray is too small for me to read. Could you send me the original scans. Did you digi them with your camera or are the digital X-rays? The lateral and oblique ankle and foot are usually more useful. But there is no substitute for a good physical exam. Is the fixation in the subtalar joint, or the cuboid... the metatarsals etc.

I'd start with two exercises. An achilles stretch, both with knee straight, and slightly flexed. And secondly stretch the plantar fascia by placing your toes on a plinth, and slowly bring your knee towards the wall - you should feel the pull under your foot.

The fixations in your foot need to be corrected, and unfortunately that isn't something you can do for youself.

You have a long and complex history, John. Try and slowly be MORE ACTIVE, not less, but choosing your activities carefully. Perhaps swimming and cycling should be included.

And then start looking for a chiropractor who can treat your chronic ankle, look at the pelvis and knee, and that neck obviously needs care.

Don't expect miracles, it will be hard work, but do expect your chiropractor to be a thinking man/ woman, same as you are.

Frankly, I don't think I've offered much - a good exam and treatment is what you need, but you're half way there.

In some small way, I hope this has contributed. Send me your X-rays.

Dr B

Comments for Metatarsalgia, leg pain, back pain, neck pain; chronic ankle sprain

Average Rating starstarstarstarstar

Click here to add your own comments

Jan 24, 2011
Rating
starstarstarstarstar
Update
by: John

Many thanks for looking at my situation.

I saw the doctor again today to see where things stood in light of my MRI. He seemed to be pretty conclusive about it being Freiberg's.

I have tracked down a chiropractor here and I will see him tomorrow.

I e-mailed the x-rays you mentioned, and I also sent two x-rays from almost two years ago, and from what I can tell, there is a difference in the second toe, although I am a bit baffled as to how that could have occurred, since I have cut way back on exercising in the last two years due to the pain it was causing my back.

Anyway, the doctor said that I will have to keep walking on my foot, "until the bone is destroyed", and then I will have to get surgery. Even accounting for cultural misunderstanding and linguistic confusion, that does not strike me as a good Plan A. I asked him how long such a process would take, and he said that it was variable. I said "one week or five years, or...?", to which he responded that it could be tomorrow or it might never happen. He went on to say that in his 30 year career, he had had 20 such cases and that he had ended up operating on 10 of them. The other ones healed on their own due to the medication (euclidan for blood circulation and pifoxicam, an anti-inflammatory cream). And he said, I should show up every two or three months for a check-up until it was time for surgery, or until the pain was so bad I could no longer stand it.

The thrust of all of this, I am tempted to say, is that my goal now is to do as much damage as I can to that toe to induce the conditions necessary for surgery, when I can finally obtain some relief. Or limp around for possibly years, which does not appeal to me as it is already reigniting pain in my lower back.

One question I keep on asking myself is why none of the three doctors I have seen in this round didn't have me immobilize the foot, at least until they could figure things out or the conditions went away. Wouldn't that have been an acceptable first precaution?

Hello again, John.
Immobilisation leads to immobilisation arthritis and should only be used for fracture and seriously torn ligaments.

I'm afraid I don't see any signs of Freiberg's disease. I suspect, obviously without examining your foot this is very tentative, you have a case of metatarsalgia second to an old ankle sprain. You can see a bony spur forming in the calcano-cuboid joint, a sure sign of an old untreated injury.

Not all chiropractors feet, but my fingers are itching to examine your foot. Alas, we live on opposite sides of the planet!

I hope the chiro you consult is able to help.

Kind regards.

Click here to add your own comments

Join in and write your own page! It's easy to do. How? Simply click here to return to Chiropractic help Questions (Neck pain).





Did you find this page useful? Then perhaps forward it to a suffering friend. Better still, Tweet or Face Book it.

Share this page:
Enjoy this page? Then forward it to a friend. Here's how...

Would you prefer to share this page with others by linking to it?

  1. Click on the HTML link code below.
  2. Copy and paste it, adding a note of your own, into your blog, a Web page, forums, a blog comment, your Facebook account, or anywhere that someone would find this page valuable.