Hips pain

by Mike
(Cannock U.K.)

Have you had any x-rays taken recently?

Have you had any x-rays taken recently?

I have severe disc degeneration due to hard work, and heavy load carrying since the age of 14, I am now 69.


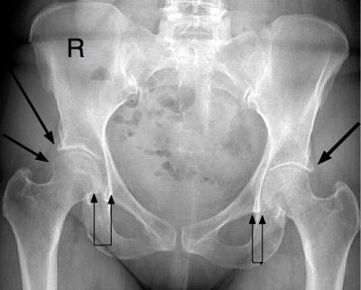
I have a left hip resurface, of 20 years standing.

My hips give me severe pain, and I am unsure as to its cause; could it be my nerves being pinched by the disc degeneration?

My left hip pains as much as the right, yet it is steel.

Hello distant cousin Mike, does your family trace its roots back to Kent?

There's a relatively simple rule of thumb to use. Do movements of your back, forwards, backwards and to the side provoke the pain in the hip area? Or, does pulling your knee to the chest feel stiff and sore?

I suspect from what you describe this is more of a hip problem, but it's complex and only a thorough examination will answer your question.

Meantime, start gentle lower back and hip exercises every morning before getting out of bed; I'm your age and do them myself; they take only a couple minutes. I never miss them, otherwise I will have pain that day.

They may cause some discomfort but should never cause pain. Be gentle on the those hips or you may make it worse.

I hope this contributes.

Dr Barrie Lewis



»
» Hips pain






Click here to post comments

Join in and write your own page! It's easy to do. How? Simply click here to return to Femoral nerve.





Did you find this page useful? Then perhaps forward it to a suffering friend. Better still, Tweet or Face Book it.

Share this page:
Enjoy this page? Then forward it to a friend. Here's how...

Would you prefer to share this page with others by linking to it?

  1. Click on the HTML link code below.
  2. Copy and paste it, adding a note of your own, into your blog, a Web page, forums, a blog comment, your Facebook account, or anywhere that someone would find this page valuable.