Hip arthritis; correct diagnosis?

by Lisa

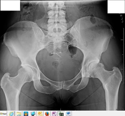
Hip xrays 6 weeks apart different facilities

Hip xrays 6 weeks apart different facilities

Pain started June 5th, 2016 while running, thought stress fracture, had two xrays 6 weeks apart, both state mild hip arthritis. Had MRI, still mild hip arthritis. PT said "frozen hip" was some of my issue, that is better after 8 weeks of working the hip, still cannot run, pain begins soon after running. To me on the xray's it looks like my pelvis is out of alignment. Left side is higher than right side and I feel my left leg is shorter. Wonder if my pain is due to hips not being in alignment?


I'm a runner, last year ran three halfs and a full marathon, last half marathon was end of Feb, no issues whatsoever; will I ever run again? I'm a female, 51 years old; not over weight.

Hello Lisa,
This is interesting! And thought provoking. Yes, you do have some mild arthritis but that's been slowly developing over the years. What is unusual is the very large CAM deformity arrowed; you have a condition called femoro acetabular impingement syndrome. It causes the frozen hip that your PT describes, and isn't new either; you may not have realised it but you've had a stiff hip for years.

Do you have any hip arthritis in the family? FAIS is hereditary. Your children should all start exercising their hips on a daily basis now to prevent the onset of arthritis.

You probably will be able to run again, seeing it started suddenly three months ago; but I wouldn't. There's a fair chance you're going to have a hip replacement in the next ten or so years, and virtually certainly if you continue long distance running on tarmac or concrete. Three to five miles on dirt or grass MIGHT be okay.

Yes, there is some distorsion of the pelvis; was this radiograph taken standing? If so you have a short leg and, combined with the CAM deformity is why it's turning arthritic. You should be wearing an orthotic in your shoe, thicker on the right.

What I can't tell is where your pain is, and whether the sacroiliac joint is involved; it's likely to be, and treating that, together with gentle daily exercises of your hip is what is likely to save the day.

I've been where you are; I too had to give up my sport, moped for six months and then discovered a much more interesting activity; soaring in a glider. My strong advice is to accept your can't continue distance running and find something else to be passionate about. It's a big world with plenty of things going on.

Oddly I'm working on the next newsletter from Chiropractic Help and it's exactly on this subject; I've taken the liberty of using your x-ray, but with no reference to you. Let me know if you object. Sign up smartly for our newsletter at the bottom of any page at C-H and you'll get it, probably tomorrow; otherwise you'll find it in the backissues.

I'm not sure how PTs treat the SIJ; it seems you are responding to the care. An opinion from a local chiropractor wouldn't do any harm.

I hope this contributes.

Dr B





Click here to post comments

Join in and write your own page! It's easy to do. How? Simply click here to return to Chiropractic help Questions (General).





Did you find this page useful? Then perhaps forward it to a suffering friend. Better still, Tweet or Face Book it.

Share this page:
Enjoy this page? Then forward it to a friend. Here's how...

Would you prefer to share this page with others by linking to it?

  1. Click on the HTML link code below.
  2. Copy and paste it, adding a note of your own, into your blog, a Web page, forums, a blog comment, your Facebook account, or anywhere that someone would find this page valuable.