HDL L5-S1 evolution

by Florin Daniel
(Bucharest, Romania)

Hello again!
I've been diagnosed with HDL L5-S1 since 2010.
I had 3 painful episodes until now (one in december 2010, one in march 2014, and the last one in ianuary 2016).

I described my story here: https://www.chiropractic-help.com/hdl-l5s1-with-sciatica-on-right-foot.html
I wanted to post an update on my status, since i've recently got a new MRI after workind with a chiropractician, and also done some kinetotherapy and streching (using an inversion table) about a month.

SHORT REMEBER OF THE INITIAL PROBLEM:
The first session with the chiropractician have eliminated the pain in my lower back, but i was left with a sciatic pain down my leg. The pain was starting to grow and kind of scared me, so i went to see a neurosurgeon and decided to make an operation because the pain was high.

I had 2 weeks until the operation was scheduled so i wanted to try non-surgical solution until i couldn't to anything else.

I've started in doing moderate exercises, and resting a lot (also took some anti-inflamatory drugs like Arcoxia). From week to week my pain was diminishing. I could walk more easy with less pain, and i was able to lift my foot higher when doing the Lasegue test.

ACTUAL STATUS:
- i have NO BACK PAIN
- i can walk without sciatica pain (let's say 500m until the pain starts to slowly appear but in my right hip and if i push it it will go down to my knee)
- i can sit with no pain (not very long, let's say 30-60 minutes)
- i can sleep with NO PAIN
- i can strech and do easy exercises without pain
- i can drive my car (moderate driving)

Good..

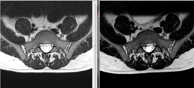
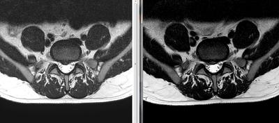
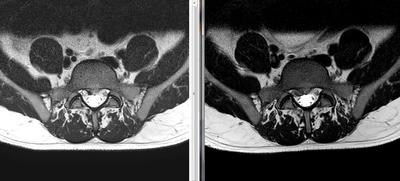
Not, i've done a NEW MRI (in the left is the MRI made in january, and in the right image is the MRI made in february 2016). The first was in january 2016, and this is february 2016.
The main difference in imaging is that the HDL got a little bigger, and also got to the point where the disc material got out and is "leaking" near the S1 right nerve root slightly compressing it.

My dillema is this:
- should i do the surgery considering the evolution based on my new MRI, or should i trust my symptoms in getting better??

Please respond soon, i have only 1 day left until my surgery, and i realy need another opinion.


Hello Florin,
Apologies but I've been away for a week. I would have gone with your improvement, rather than what was seen in the MRI.

But that's history now; let me know what you decided.

Either way, give it time to heal this time.

Dr B

Comments for HDL L5-S1 evolution

Average Rating starstarstarstarstar

Click here to add your own comments

Mar 01, 2016
Rating
starstarstarstarstar
Done the operation
by: Florin

I have done the operation. I feel ok now. Just muscular pain and stiffness.
My stiatic pain feels gone. I only have some minor pain (tension) when i try to raise my right foot (lasegue test). But i guess it is because it needs time for the nerve to heal properly after surgery.

I am day 4 since my microdiscectomy.
I need some easy muscle strengthening and some tonus in my body from now on.

Take it quietly now Florin for at least a month, and follow the surgeon's directions down to the last letter.

Good luck, thanks for letting me know.

Dr Barrie Lewis

Click here to add your own comments

Join in and write your own page! It's easy to do. How? Simply click here to return to Chiropractic help Questions (General).





Did you find this page useful? Then perhaps forward it to a suffering friend. Better still, Tweet or Face Book it.

Share this page:
Enjoy this page? Then forward it to a friend. Here's how...

Would you prefer to share this page with others by linking to it?

  1. Click on the HTML link code below.
  2. Copy and paste it, adding a note of your own, into your blog, a Web page, forums, a blog comment, your Facebook account, or anywhere that someone would find this page valuable.