Fused spine and chiropractic treatment for a 14 year old scoliosiis

by Mike
(Michigan)

Dear Doctor,

I'm writing about my 14 year old grandaughter. Samantha was born with Epidermolysis Bullosa (EB) and congenital scoliosis. The two are not related as far as we know. Sam's aunt also has a mild form of scoliosis.

As a baby , Sam held her head cockeyed. At 4 or 5 she was diagnosed and has had at least three major back surgeries with various "hardware" inserted in an attempt to correct it.

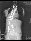
Nothing has worked and so her last surgery was to remove some of the old hardware (first pic), insert adjustable rods and to fuse most of her vertebra.



Her back, hips, rib cage etc. are still "off" and there are pulmonary issues due to the abnormal growth of her rib cage due to the scoliosis. She is restricted physically (no phys Ed, for example) and has allowances to use the elevator at school, instead of the stairs. She uses a roller backpack and has other accommodations.

As a recipient of and believer in chiropractic medicine, I've tried to encourage her mother to take Sam in for treatment. I really don't know if she would be a candidate for treatment, but I worry that her other joints will suffer/deteriorate due to the scoliosis.

I've include a couple of X-rays to give you an idea of Sam's situation. If you have any suggestions, recommendations etc. regarding chiropractic treatment for Sam I would appreciate it.

Thank you in advance.

Mike

Hello Mike,
I have grandchildren of Sam's age and can identify with the pain you are feeling.

Whilst it's not conclusive, because it would appear the x-rays were taken lying down, is that Sam may have a severely short leg. Has there ever been mention of this, and is she wearing a lift in her shoe? It could make a huge difference.

You are right. A scoliosis of this nature, and the short leg causing it, in part let it be said, will have profound affect on other joints in her neck, but also in the hip and knee. These peripheral problems also need to be addressed.

The management of scoliosis is a specialty within chiropractic; the average DC, myself included probably should not be treating her. I would contact the state association to find the right person.

Perhaps of encouragement is that I have patient with a similar scoliosis, with a Cobb's angle of over 60* would be my guess, is still going well and nearly 90; she never had surgery and her parents chose to go the chiropractic route despite considerable criticism. See the scoliosis page at Chiropractic Help.

Suggest she keep as active as possible; swimming might be best. And sacroiliac joint and hip exercises; there must be troubles there as well, and they aren't fused. Done every single morning before getting out of bed, they will make a huge difference; done gently and stopping at the point of pain.

Thank you for your contribution; say your prayers for her, and I'll remember her too. I hope you can find someone with whom she 'clicks'.

Dr B



»
» Fused spine and chiropractic treatment for a 14 year old scoliosis





Click here to post comments

Join in and write your own page! It's easy to do. How? Simply click here to return to Chiropractic help Questions (General).





Did you find this page useful? Then perhaps forward it to a suffering friend. Better still, Tweet or Face Book it.

Share this page:
Enjoy this page? Then forward it to a friend. Here's how...

Would you prefer to share this page with others by linking to it?

  1. Click on the HTML link code below.
  2. Copy and paste it, adding a note of your own, into your blog, a Web page, forums, a blog comment, your Facebook account, or anywhere that someone would find this page valuable.