Ehlers Danlos and clicking painful hips

by Marie
(Sweden)

Ehlers Danlos and clicking painful hips


Hello and thank you for your very interesting site!
I have ehlers danlos syndrome and was diagnosed about a year ago. I am now 33 yers old.

My hip problems started when I was 17, and I was told I had a snapping hip on my left. I went trough two hip surgery to correct the snapping hip but it did just get me more pain.

The last year I understood that my hips where very hypermobile and they started to click in each step. Not the snapping hip I've had since I was 17, now it also was a painful clicking inside my hip joints.

Every step I take is now so hurtful and I walk with a crutch to let the worst hip rest a little.

Since december 2012 i've done some xrays, but the doctors says it all looks normal and they are confused about my pain and very loud clicking.
When I read about hdd it sounded like my hips, except from the xrays that doesn't show anything abnormal.

In sweden where I live I have never heard someone talking about hip dyspasia in adults, maybe that is the problem with my hips anyway?
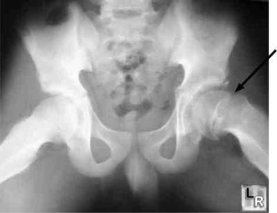
I'm sending you an xray picture of my hips.

I'm starting to be desperate, the wheel chair is near and I have four kids to look after for.
Maybe you can give me some advice?





Hello Marie,
Fortunately you don't hip have hip dysplasia. The sockets, acetabulum, are normally formed and roofed, and the hips sit nicely in the sockets.

There are two types of hypermobile hips. One is hdd or hip dysplasia. That you don't have. The other is simply known as hypermobility and is considered normal, although it certainly can be painful. In the groin, hip and upper leg.

And hypermobility is what eds is all about.

Is it possible for you to send to me at contact a larger file of your pelvis. This one is only 13KB and not diagnostic.

A little test for you: Lie flat on your back and first pull the less painful knee to your chest. Does it hurt? Where? Now compare with the worse hip.

Secondly, pull the knee towards the opposite shoulder. Stiff or very mobile? Sore? Where?

Now rotate the hips. Again hypermobile presumably and sore? Where?


Now, would you please go to this page and scroll down to Hypermobile hip dysplasia CAM FAIS patrick's fabere test. I expect it's very mobile, but sore? Where?

Lastly, slide your thumb, use a little oil, down the inner thigh starting right up near the hip in the groin. Deep and quite hard. Is it very sensititive. Compare with a friend. It shouldn't be particularly tender and in your case may be excruciating.

Your xray. Like I said too small, but I think I see small cam and pincer deformities of Femoro acetabular impingement syndrome in both hips.

There's a very bizarre condition in which hypermobility and fais co-exist in the hip. One causes increased movement, the other decreased movement, a complete contradiction. The net result is severe pain in the groin.

Both may progress to osteoarthritis of the hip and I think on the hip on the reading left there may be some thinning of the cartilage.

This condition may lead to mid lumbar pain. No back pain?

Was this X-ray taken with you lying down?

Quite a lot of questions for you, Marie. Please keep to the same thread with your answers.

There is something to be done.

Dr Barrie Lewis DC
 

 




Go from Ehlers Danlos and clicking painful hips to other Chiropractic Conditions often treated…

Comments for Ehlers Danlos and clicking painful hips

Average Rating starstarstarstarstar

Click here to add your own comments

May 10, 2013
Rating
starstarstarstarstar
EDS and hip pain
by: Marie

EDS and hip pain

Hi again.
I'm waiting for an mri, my orthoped has ordered it but it takes time.

Both my PT and the doctors I've seen are agree that it is clicking from the joint and not soft tissue. But they also think that my earlier snapping hip surgeries have made my problems worse and the hip more hypermobile.

In my health journal from post op fifteen years ago, a doctor has written that It's more likely that I had a sliding of the caput rather then snapping hip, but no one informed me and there was no more contols of my hip and I learned to live with it until I became worse three years ago when my last child was born.
I will keep searching for a good chiropractor here.

About my eds, I have a mix of hypermobile and classic type and I have some skin symptoms. A little bit more stretchy than a normal person, and I have those wide and thin scars and I get bruises very easily.

Looking forward to your exercises!
Marie

Hello Marie,
I'm waiting on the video specialist before I can launch the videos on Youtube. In any case, they are a mixture of the exercises already at Lower Back Exercises so, unless you are already familiar with them, you will really battle with these hypermobile hip exercises. Start with them every morning before getting out of bed. Then, when they are launched on YouTube you'll be ready for them. There are eight stages, and quite complex.

Fortunately I see no signs of you having had a slipped caput, known in English as Slipped Capital Femoral Epiphysis. Go to
Hip Arthritis and scroll down.

In order to make the hip socket deeper there is a layer of fibres known as the labrum. I suspect your problem may be to do with this collar of ligament that makes the hip socket deeper and more secure. The MRI will tell all...

Dr B

Go from EDS and hip pain to Chiropractic Tips …


May 09, 2013
Rating
starstarstarstarstar
FAIS and EDS
by: Marie

Thank you for your answer.
I understand that there is no quick fix for this. I've contacted a couple of chiropractors nearby earlier, but because of my eds they dont want to treat me.
Can the FAI cause the loud clicking and clonking or do you think it is subluxations? The clicking is in every step I take, do you think that the arthritis will be more progressive if I keep pushing me to walk although it clicks and locks and hurts so bad? It actually feels like something is breaking inside my hip joints and tigh bone.
Here in sweden, there is a hospital wich is specialized on cam and pincer surgery, but as far as I understand, surgery with my condition is not to recommend?
I also have cronical pain and clicks in my sacroiliac joint since my last pregnency.

I'm so greatful that you take the time to answer and I am going to read all your pages related to this and I will check back here so I dont miss if you put up a page with the exercises you talked about!



Hello Marie,
Contact some other chiropractors. EDS is definitely not a contraindication for treatment, but it does mean that techniques have to be modified and perhaps others such as an activator used.

There's nothing on the XR that explains the painful clicking you are getting with every step. I suspect it is soft tissue in nature, and thus you should push for an MRI scan of your hip. It's expensive, but not unreasonable seeing that you are becoming so disabled. I wonder if it's not related to the surgery you've had.

Those are very small FAIS deformities and I wouldn't recommend surgery for them even without your EDS.

I would start with our basic lower back exercises and, when pulling the knee to the chest, gently rotate the knee from out to in, in a circle. It shouldn't be painful but some discomfort is acceptable. I good exercise should "reach" the painful spot, but not cause pain.

Regularly slide your thumb down that groin to inner thigh muscle with some cream. It will hurt, and you may get a bruise.

I'll try to get to those exercises today, meantime start pushing for an MRI and another chiropractor. It's going to be new ground for any chiropractor (I can't say I've ever treated anyone with EDS in 35 years) but I've learnt that the basic principles of chiropractic, applied gently and intelligently work for most joint conditions.

Good luck!

Do you also have the skin lesions of EDS?

May 08, 2013
Rating
starstarstarstarstar
Groin pain
by: Marie (sweden)

Groin pain

Thank you for your answer, I have send a bigger x-ray picture to your email.

I'm very hypermobile in my hips and when I do the tests you asked for, there is no limit or very much pain when I put my knees towards my chest or shoulder. Only my hamstrings are a little tense. When I rotate my hips it hurts in the groin.
On the Fabere test, the left hip has no limit and no pain to talk about, and the right hip is a little more stiff and if I would push it harder I think it would pop to badly. In both hips there is pain in the groin but this pain is there all the time and it is under pressure (walking, the weight of my body etc) that makes it hurt more. Not just the movement laying down.

When I slide my thumb, there is pain in the muscle, but not worse then the daily pain in the groin.

I have always back pain in the lower back, especially since I walk with just one crutch, its only one of my arms that are strong enough to hold a crutch. When I lay down, I can easily force the clicking in the groin. The clicking and clonking are not snapping hip on the outside and not snapping in the inside muscle, it is in the groin and hip joint. When I walk it sounds like bowls filled with both small and big rocks get crushed. Because of my syndrome, the doctors don't want to do more surgery, they don't think it will resist and only makes me better for a short period.
I hope you understand my pretty poor english!

And, a while after I did these tests, the pain in my groins and hip joint is much worse.
Thanks, Marie

Hello Marie,

Obviously it's difficult, and I'm not going to propose a cheap and nasty solution.

You have really quite mild Femoro Acetabular Impingement syndrome and very early osteoarthritis in one of the hips. I can't tell which from the X-ray as they aren't marked. Hence your radiologist had little to say.

My thoughts would be along the lines of a capsulitis, or a referred pain, to or from the mid to upper back. Perhaps the sacroiliac joint ...

Only a careful and thorough chiropractic examination of the lower back, pelvis and hip joints is going to give the answers as to whether chiropractic can contribute to your problem. I'm thinking yes, but that's speculative...

I have very specific exercises that I give to patients with hip dysplasia, one this afternoon, but they're not on the website. I'll try and get to that in the near future.

Have you seen a chiropractor? Ask first, do they have knowledge and expertise about the hip. You may struggle to find someone able to help you. Helaas we live on opposite ends of the planet!

Find a good chiropractor is perhaps your next stop.



Click here to add your own comments

Join in and write your own page! It's easy to do. How? Simply click here to return to UPPER LEG PAIN.





Did you find this page useful? Then perhaps forward it to a suffering friend. Better still, Tweet or Face Book it.

Share this page:
Enjoy this page? Then forward it to a friend. Here's how...

Would you prefer to share this page with others by linking to it?

  1. Click on the HTML link code below.
  2. Copy and paste it, adding a note of your own, into your blog, a Web page, forums, a blog comment, your Facebook account, or anywhere that someone would find this page valuable.